Javascript must be enabled for the correct page display
(346) 584-7038
Monday - Saturday:
8:00am – 4:00pm
Phone
Hours
Follow us
Contact Us
(346) 584-7038
Working Hours
Mon - Sat
8:00 am – 4:00 pm
Sun
Closed
Follow Us
Facebook
Instagram
NextDoor
Apple
Google
Menu
Search
Main Menu
Smile Gallery
Services
Toggle Dropdown
Dental Emergency
Family Dentistry
Toggle Dropdown
Dental Cleaning
Gum Disease
Preventative Treatments
Scaling and Root Planning
Root Canal
Dentures
Laser Dentistry
Cosmetic
Toggle Dropdown
Teeth Whitening
Veneers
Crowns & Bridges
Oral Surgery
Toggle Dropdown
Alveoloplasty
Sinus Lift Surgery
Tooth Extractions
Dental Implants
About Us
Toggle Dropdown
Meet the Team
Toggle Dropdown
Dentists
Support Staff
Office Tour
Testimonials
Advanced Technology
Blog
Patient Info
Toggle Dropdown
Insurance & Financing
Special Offers
First Visit
New Patient Experience
Book Appointment
Search
Book Appointment
Book Appointment
Menu
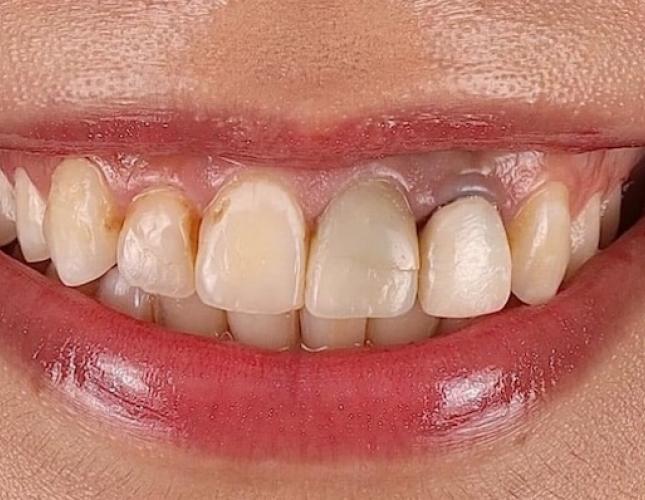
Case 2
Anonymous